invis is
the first step towards their best smile.
Rooted in years of research and clinically-proven1, the Invisalign® Palatal Expander System delivers a revolutionary approach to skeletal expansion2




Discover the many benefits of interceptive treatment with the Invisalign Palatal Expander System.
Designed with you and your patients in mind, it eliminates the need for turning screws1, making treatment easier3 and more convenient.
Safe and clinically effective treatment2
Invisalign Palatal Expander treatment delivers on your clinical goals to achieve mid-palatine suture expansion3.
A simple, digital workflow
Easily integrated into your practice workflow after a simple iTero™ scan.
Decreased chair time
No metal means no broken wires and fewer emergency visits4.
A positive patient experience5
Invisalign Palatal Expanders deliver the outcome you need, without the added discomfort of metal or difficulty with daily screw-turning6.
Safe and clinically effective treatment2
Invisalign Palatal Expander treatment delivers on your clinical goals to achieve mid-palatine suture expansion3.
A simple, digital workflow
Easily integrated into your practice workflow after a simple iTero™ scan.
Decreased chair time
No metal means no broken wires and fewer emergency visits4.
A positive patient experience5
Invisalign Palatal Expanders deliver the outcome you need, without the added discomfort of metal or difficulty with daily screw-turning6.
Meet the cutting-edge design of the Invisalign Palatal Expander.
With the Invisalign Palatal Expander System, patients experience more comfort7 due to the absence of metal or screws to turn.
Smooth lingual surface for patient comfort.
Palatal coverage with thickness customized to fit each patient.
Removal handle feature intended to facilitate insertion and removal.


Redefine the chairside experience for your patients and team.
Simplify your expander delivery and removal appointments with the Invisalign Palatal Expander System.


Traditional Palatal Expander System insertion
Typically made of metal, traditional expanders must be inserted by a doctor and require manual turning of a screw by caregiver or patient.

Invisalign Palatal Expander System insertion
Invisalign Palatal Expanders are easy to insert. Most children can do it on their own. Invisalign Palatal Expanders are also easy to remove, for ease of oral hygiene.
Intercept a developing problem that could become more serious over time if left untreated.
The Invisalign Palatal Expander clinical scope at a glance.
Indications for treatment: The system is used for rapid expansion and subsequent holding of skeletal and/or dental narrow maxilla (upper jaw, dental arch and teeth, palate) with primary, mixed, or permanent dentition during orthodontic or orthopedic treatment.
Patient profile: Growing patients or adults (in conjunction with surgery or other interventions when necessary).
Number of expanders and holders: Unlimited8 with a treatment expiration date of 18 months.
Typical treatment time: About 1 month of active expansion, depending on the severity of the case.




See what your peers are saying about this exciting new way to treat Phase I cases.
The Invisalign Palatal Expander System is more comfortable, and just as effective7.
of surveyed Invisalign trained orthodontists agree that they would recommend Invisalign Palatal Expander System to their colleagues9.
of patients treated with Invisalign Palatal Expanders were compliant wearing the device during the expansion treatment10.
of surveyed Invisalign trained orthodontists agree that kids treated with Invisalign Palatal Expander System experience better quality of life than those treated with traditional palatal expanders11.
of surveyed Invisalign trained orthodontists agree that they would recommend Invisalign Palatal Expander System to their colleagues9.
of patients treated with Invisalign Palatal Expanders were compliant wearing the device during the expansion treatment10.
of surveyed Invisalign trained orthodontists agree that kids treated with Invisalign Palatal Expander System experience better quality of life than those treated with traditional palatal expanders11.
Unlock the power of simplicity.
Deliver a tailored treatment for progressive expansion with a simplified workflow.
Step 1: Custom 3D-printed expanders and holders are created for each patient based on their unique anatomy, following a simple iTero scan.
Step 2: Patients progress through a series of removable expanders in small increments.
Step 3: Once the desired expansion is achieved, Invisalign Palatal holders are replaced every 2-4 weeks to stabilize the palate.
Note: The expanders and holders are kept in place using attachments12 that are bonded to the patient's teeth to help retain the appliance securely in place.




Transition seamlessly to Invisalign First™ treatment.
Combined with Invisalign First™ clear aligners, Invisalign Palatal Expanders provide doctors with a full early intervention treatment solution, including both skeletal (orthopedic) and dental (orthodontic) arch expansion. Learn more about Phase I treatment with Invisalign First aligners.




Witness the transformative impact of treatment with the Invisalign Palatal Expander System.
Hear directly from your peers about their experience with Invisalign Palatal Expanders.
Explore featured case studies.
Together, we’re advancing the way early interceptive treatment is delivered to growing patients.
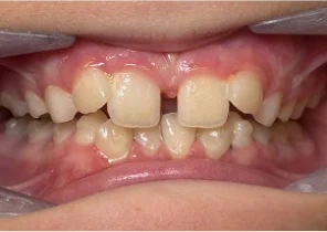
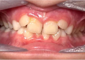
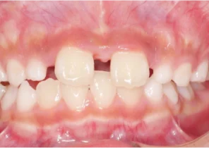
Case Report 1
10 years 0 months old, 18 stages of Invisalign Palatal Expanders
Courtesy of Dr. Sandra Khong Tai


Pre Invisalign Palatal Expander Expansion


Post Invisalign Palatal Expander Expansion


After Invisalign First treatment


Pre Invisalign Palatal Expander Expansion


Post Invisalign Palatal Expander Expansion


After Invisalign First treatment
Case Report 2
7 years 11 months old, 24 stages of Invisalign® Palatal Expanders
Courtesy of Dr. David R. Boschken


Pre Invisalign Palatal Expander Expansion


Post Invisalign Palatal Expander Expansion


Post Invisalign Palatal Expander Treatment


Pre Invisalign Palatal Expander Expansion


Post Invisalign Palatal Expander Expansion


Post Invisalign Palatal Expander Treatment
Frequently Asked Questions
For additional questions or the complete FAQ guide, please reach out to your Invisalign Representative.
1. What is the Invisalign® Palatal Expander System?
The Invisalign Palatal® Expander (IPE) System is Align’s first direct 3D printed (additive manufactured) orthodontic device to address skeletal expansion in growing patients. It consists of a series of doctor-prescribed, removable Invisalign® Palatal Expanders and Invisalign® Palatal Holders.
2. What is IPE made from?
Invisalign Palatal Expanders and Invisalign Palatal Holders are made from polyamide-12, a polymer also known as nylon 12, a type of nylon.
3. How many mm/day expansion? Can I control the expansion to be less per stage?
After stage 0 (passive), each stage is programmed for active expansion, at 0.25 mm of movement per stage.
Expanders can be replaced daily for rapid expansion or changed less frequently (e.g. 2 or 3 days), or at the doctor's discretion, based on patient’s biological response.
4. What is dental case applicability for IPE?
Dental case applicability must be followed. Applicable patients:
3 stable teeth per quadrant on the upper arch
At least 4 mm crown height
First permanent molars (6s)
First primary molars (Ds) or first premolar (4s)
Second primary molars (Es) or second premolar (5s)
Second permanent molars (7s) may be erupted, but the device will not cover them
Canines (Cs/3s) may be erupted, but the IPE will not cover them
Might not be applicable:
Short clinical crowns:
Lack of device retention or difficulty in attachment bonding may occur on teeth with short clinical crowns (< 4mm) or unstable upper first permanent molars, upper second primary molars, and upper first primary molars.
Dental restorations:
Insufficient device retention, excessive force on dental restorations, and/or difficulty in attachment bonding may occur on teeth with stainless steel crowns or other types of dental restorations:
Patients with stainless steel crowns might be eligible for treatment per doctors discretion (note that the Invisalign First Palatal Expander device will cover these teeth)
Patients with palatal conditions:
Exostosis or cleft palate
Not applicable for treatment:
missing teeth under the IPE (i.e., D/4’s, E/5’s, and 6’s)
primary dentition only (i.e., 6’s not erupted yet)
5. How many stages? Are they shipped all at once? Is it 1 of each stage or 2 that is shipped?
A series of Invisalign Palatal Expanders is shipped as 1 device per stages. Any additional stages need to be ordered from the prescription form.
The number of stages is determined by the Doctor based on the clinical goals:
The number of expander stages are determined based on the desired amount of expansion as specified in the Rx form: each stage is programmed to 0.25mm/day, the max amount of expansion that can be ordered is 12mm. The doctor can stop at expansion at any time based on clinical observation/preference and order Invisalign Palatal Holders. Invisalign Palatal Holders need to be ordered separately in the prescription form.
The number of holding stages is also determined by the doctor based on the holding duration time period (in weeks). Holder is a copy of the last stage of the expander intended to stabilize the palate after the active expansion, replaced every 2-4 weeks.
Expanders and holders are shipped separately—holders are manufactured after the desired active expansion is reached and the doctor had specified in the Rx form at what stage to start a holding phase.
6. What is the thickness of each stage? Is it the same for each stage?
Thickness of the device is customized based on each patient’s unique anatomy. The thickness of the palatal region is also custom manufactured for comfort.
7. Does the IPE create equal force/pressure for every stage? Or does the force/pressure vary?
The device is targeted to apply the same or similar transverse force for every stage of the treatment, but that force may vary based on patient anatomy.
8. Do the patients have to remove IPE to eat? If they can eat with IPE, any foods/drinks to avoid?
Patients do not have to remove the devices for eating or drinking. However, it is recommended to rinse the mouth thoroughly after each meal.
Caution: Chewing hard, sticky or sugary food (including chewing gum) may damage the device and/or the patient’s teeth and should be avoided. Drinking sugary or acidic drinks may damage the patient’s teeth and should be avoided.
Patients should brush and floss their teeth before inserting the device. If they don’t have access to a toothbrush, they can simply rinse their mouth, and clean their devices by holding them running water.
Patients should not throw away the original bags as they will be used to store the used devices.
Note: Doctors should evaluate whether a particular patient should remove the device while eating (consider the patient’s age and ability to remove and reinsert the device) and should advise patients and supervising adults to follow proper oral hygiene and the use and care instructions. Doctors should refer patients to Patient Use and Care Instructions. A hard copy can be requested through Invisalign Doctor Site “Support tab”
9. What scanners can I use?
Based on current business process applicability, Align Technology, Inc. currently accepts scans using commercially available iTero digital intraoral scanners only (offered by Align Technology, Ltd.). No 3rd party scans / PVS impressions are accepted. Please refer to iTero scanner user manual for complete instructions for use.
When scanning for palatal expansion treatment, your scans must capture the palate, gingiva, and crown surfaces.
All iTero-branded digital intraoral scanners can be used with the Invisalign Palatal Expander System. Please check the iTero website or contact customer support for a list of scanners available in your market.
10. What attachment material can I use?
Please leverage the IPE quick start guide for a list of recommended bonding agents and composites for use with the Invisalign Palatal Expander System based on shear bond testing performed by Align Technology. Link to the guide.
11. What teeth are the attachments bonded to?
6s and Es (alternatively, if 5s have erupted sufficiently, then they will have attachments)
12. What is the tooth coverage for IPE/how many teeth are covered with IPE?
3 teeth (Ds, Es, 6s) are covered, but attachments are bonded on 2 teeth

